症例集
Casebook
症例集
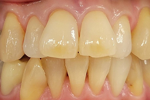
ダイレクトボンディング 症例1
-
治療前 -
治療後
| 患者さま情報 | 57歳 男性 会社員 |
|---|---|
| 主訴・治療内容など | 上の前歯の隙間が気になる。 他歯科医院でジルコニアクラウン、4前歯で60万円の治療を薦められたため当院に来院された。 当院でコンポジットレジンダイレクトボンディング治療を行う。 |
| 当院での治療費用 | 10万円+消費税 |
ダイレクトボンディング 症例2
-
治療前 -
治療後
-
治療後 -
治療後
| 患者さま情報 | 25歳 女性 OL |
|---|---|
| 主訴・治療内容など | 上の前歯の色とデコボコした歯並びが気になる。 歯科矯正も他の歯科医院で薦められたが、治療期間が長期期間であること、費用が99万円で高額であることから断念し当院に来院された。 当院でダイレクトボンディングと歯の形態修正を行う。 |
| 当院での治療費用 | 10万円+消費税。 |
| 治療回数・時間 | 治療時間 90分。 |
ダイレクトボンディング 症例3
-
治療前 -
治療後
| 患者さま情報 | 45歳 女性 公務員 |
|---|---|
| 主訴・治療内容など | 上の前歯の色と出っ歯が気になる。 他の歯科医院では歯の神経を除去してジルコニアクラウンを薦められる。 ジルコニアクラウン15万(+消費税)を薦められる。 神経を取ると歯の寿命が短くなると聞いて不安になり当院に来院。 当院でダイレクトボンディングと歯の形態修正を行う。神経は取らずに処置完了。 |
| 当院での治療費用 | 55,000円+消費税。 |
ダイレクトボンディング 症例4
-
治療前 -
治療後
-
治療前 -
治療後
-
治療前 -
治療後
| 患者さま情報 | 40歳 男性 会社員 |
|---|---|
| 主訴・治療内容など | 上の前歯の隙間が気になる。繊維性の食べ物が毎食後につまってしまい困っている。 他の歯科医院で矯正治療150万円(+消費税)を薦められ、治療費と治療期間が長い点で治療を断念し当院に来院。 当院でダイレクトボンディングを行う。 |
| 当院での治療費用 | 10万円+消費税。 |
| 治療回数・時間 | 通院1回。治療時間 60分。 |
ダイレクトボンディング 症例5
-
治療前 -
治療後
-
治療前 -
治療後
-
治療前 -
治療後
-
治療前 -
治療後
| 患者さま情報 | 55歳 女性 |
|---|---|
| 主訴・治療内容など |
上の歯並びが気になる。以前矯正治療の相談をしたが治療期間と仕事が多忙であり矯正治療費用が150万円(+消費税)と高額であり断念。 また、セカンドオピニオンで審美歯科専門歯科医師に相談したところ神経を除去後、自費診療ジルコニアクラウン6本 90万円(+消費税)を薦められたがこちらも高額であるため断念。 当院でダイレクトボンディングを行い、神経は取らずに治療完了。 |
| 当院での治療費用 | 15万円+消費税 |
