インプラント治療を行った院長の両親の話
院長は、実際に自身の両親にインプラント治療を行いました。
インプラント治療後、その両親がどのような生活を送っているかご覧ください。
Implant

歯科医院でのインプラント治療が一般化してきた今日、興味を持たれる方も多いと思います。 元々インプラントとは人体に埋め込む人工物のことで、歯科で扱っているインプラントは「デンタルインプラント」と呼ばれる人工歯根を指しています。
虫歯や歯周病、事故などで歯を失ってしまった場合に、その歯の代替物として使われてきたのは、入れ歯やブリッジがほとんどでした。
しかし入れ歯の見た目や使用感に、悩む方もおられます。ブリッジはより自然な見た目の仕上がりにはなりますが、周囲の健康な歯を土台にするため削らなくてならないという負担が発生します。
インプラントは、このような入れ歯・ブリッジのデメリットを払拭する優れた治療です。失った歯の部分にだけ人工歯根を埋め込むので、周囲の歯に負担をかけることはありません。人工歯根に取り付ける人工歯はセラミック製で、天然歯と変わらない見た目に仕上がります。
人工歯根が顎骨としっかり結合するので、ご自身の歯と全く変わらない使用感を手に入れることが可能です。
院長は、実際に自身の両親にインプラント治療を行いました。
インプラント治療後、その両親がどのような生活を送っているかご覧ください。

01
経験と実績で培った技術
院長の谷口は、日本国内はもちろんのこと、ハーバード大学インプラント科での技術研修・研究をはじめとして、海外で先進的な医療技術を積極的に学び、取り入れてきました。
海外では実際の治療にも携わり、モンゴルでインプラント手術やセミナーも行なっています。
実践してきた技術と経験を、たにぐち歯科に来てくださる患者さまの治療に活かしています。

02
新しい専門設備が充実
インプラントは人体に埋め込んで使用するものなので、事前の詳細な検査と、精密な設計が欠かせません。当院で使用している歯科CTは被曝線量が低く済む、新しい装置を使用しています。
精密検査で得られた患者さまの歯や口内、顎骨などのデータをもとに、インプラント専用の診断ソフトを活用して、綿密に治療計画を立てています。

03
ガイデッドサージェリーを用いた精確な施術
ガイデッドとは手術でガイドとして使うテンプレート、サージェリーは手術を意味します。CTで撮影した患部の情報をもとに、コンピューター上でインプラントを埋め込む位置を三次元的にシミュレーションし、ガイドを作ります。
シミュレーション通りの位置と角度で、より精確にインプラント埋入手術を行なうことができます。

04
美しい人工歯を作る精密な技術
人工歯などの補綴物は、歯型を取ってから外部の技工所に作製を依頼している歯科医院もありますが、当院ではより精密で患者さまにフィットするものをお作りするため、院内ラボで作製しています。口腔内スキャナーで細部まで詳細に捉えたデータを、ドイツで開発された歯科用CAD/CAMシステムを用いてコンピューター上で設計し作製します。歯型を取る必要はありません。

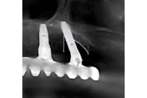
オールオンフォーとは、総入れ歯や多くの歯を失っている場合に、一本一本インプラントを埋め込むのではなく、インプラント体を4本だけ使用して、広い範囲の歯列を再現する治療法です。
例えば上顎の全ての歯14本が無いケースでは、これまでインプラントを10~14本埋め込む手術が行われてきました。しかしオールオンフォーでは、埋入するインプラントは4~6本で済みます。
手術するインプラントの本数が多いと、手術時間は長く、術後の腫れなど体への負担も大きくなり、費用もかかります。
全ての歯を4本のインプラントで支えるオールオンフォーは、こうした患者さまの負担を軽減する画期的な方法です。日帰りの手術が可能で、手術当日に固定式の仮歯を装着するので、見た目にも自然で、食事にも差し支えありません。
6本埋入する場合には、オールオンシックス(All-on-6:最少6本のインプラントを用いて固定式補綴物を支える無歯顎修復)といいます。
手術自体は難度の高いものとなるので、担当する歯科医師には技術力と、充分なカウンセリング、精密な治療計画を立てる必要があります。
当院では、国内外で研鑽を重ねた院長が担当させていただきますので、安心してお気軽にご相談ください。
メリット01
手術の負担が軽減できる
すべての歯列をインプラントにする場合、人工歯根を一本ずつ埋め込む手術を行うと、長時間の手術で患者さまの身体にかかる負担は大きくなってしまいます。オールオンフォーは少ない本数で、負担を抑えて多くの歯を再現することができます。
メリット02
顎骨の量が少なくても大丈夫
インプラント治療は人工歯根を埋め込む顎骨が、しっかりしている必要があります。しかし数本は可能でも、多数の人工歯根埋入手術には耐えられないという場合には、オールオンフォーで対応することができます。
メリット03
がっちり固定されているので安心
オールオンフォーは入れ歯とは違い、インプラントの一種として人工歯根で顎骨とがっちり固定しているので、使用感が安定していて、しっかりと食べ物を噛むことができ、見た目にも自然です。外れる心配もありません。
メリット04
費用が抑えられる
インプラントにしたいけれど、本数が多いと費用の負担が心配だという場合があると思います。オールオンフォーは人工歯根の本数を減らして費用を抑えつつ、従来のインプラント治療と同じ使用感が得られる優れた治療法です。

ガイテッドサージェリーは、CTで撮影したデータをコンピューター上でシミュレーションし、ガイドを作製して手術で使用する方法です。当院ではノーベルバイオケア社のシミュレーションシステム「ノーベルガイド」を採用しています。
人工歯根を埋入する位置を、ガイドが精密にサポートするので、歯肉を大きく切開する必要はありません。1時間程度の手術で、人工歯を取り付けることが可能です。




当院では、抜歯する際にインプラント埋入手術を同時に実施できます。
この抜歯即時埋入インプラントを行なうと、手術は1回だけで済むので、治療期間が通常より1~2ヵ月ほど短縮可能な場合があります。
「顎骨の量が充分にあること」「抜歯する部位の歯肉があること」「口腔衛生が良好に保たれた状態であること」など、適しているかどうか事前にチェックする条件があります。




上顎の内部には、上顎洞(サイナス)とよばれる大きな空洞があります。この上顎洞の底から、歯根が埋まっている部分までの骨が、上顎の歯槽骨の厚みです。歯が抜けてしまうと、歯が埋まっていた部分の歯槽骨は吸収され、骨量が減って薄くなってしまいます。
薄い歯槽骨には人工歯根を埋め込むことができないため、移植骨や骨補填材を用いて歯槽骨に厚みを出し、上顎洞の底を上げる方法が「サイナスリフト」です。




ソケットリフトもサイナスリフトと同じく、歯槽骨の厚みが不充分な場合に行ないます。
インプラント治療で人工歯根を埋め込む穴から、骨補填材を挿入して、上顎洞と歯槽骨の間の粘膜(シュナイダー膜)を押し上げて歯槽骨に厚みを作ります。骨補填材が骨になったら、人工歯根を埋入する手術を行ないます。




GBRとは、ガイデッド・ボーン・リジェネレーション(Guided Bone Regeneration)の略で、骨誘導再生法を意味します。
骨組織を再生する治療法で、欠損してしまったり衰えたりして、インプラント治療を行なうには厚みや高さの足りない歯槽骨を再生します。
歯肉を切開して骨補填材を挿入した後、骨よりも再生の早い歯肉に阻害されないよう、人工の膜(メンブレン)で覆い、歯肉を戻します。
GBR法とインプラント手術を同時に行なう場合と、GBR法で骨量が整ってからインプラントを埋入する場合があります。

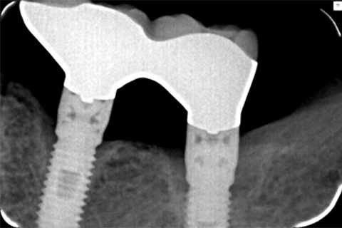
インプラント周囲炎(歯周病同様の症状があらわれる病気)を発症した方の治療、他院でインプラント治療を受けられた方のメンテナンスの実施、セカンドオピニオンなど、インプラント治療に関するお困りごとがある方を対象とし、ご相談を受け付けています。
歯の健康は、今後の人生に大きく関わってきます。お困りごとを解消し、快適な生活をお送りいただけますようサポートさせていただきますので、「治療を受けたけれど、うまくケアできない…」「治療を勧められたけれど、他の歯医者でも診てほしい…」など、どのようなことでもお気軽にご相談ください。
なお、インプラント周囲炎については、歯周病治療薬「ペリソルブ」が効果的です。歯石を軟らかくして歯周ポケットの内部を除菌する薬剤で、治療時の痛みや出血を抑えられるというメリットがあります。歯科先進国スウェーデンで開発されたもので、実際にインプラント治療で使われることも多く、効果が認められています。
インプラント周囲炎の方に、ぜひお試しいただきたい治療方法です。
| 患者さま情報 | 81歳 女性 |
|---|---|
| 治療期間 | 2018年10月~112日間 |
| 治療費 | インプラント一本 15,000円(税抜) |
| 治療詳細 | 2014年にインプラント治療を完了。 当医院にて2018年10月にインプラント周囲炎と診断され治療を行う。 ペリソルブとSRP、Er-Yagレーザー照射をフラップ形成下で行った。グラフトレス症例。 |
| 治療におけるリスク・副作用 | ・術後のプラークコントロールが不良の場合、術後感染を起こす可能性があります。 ・ペリソルブの生体に対する安全性は、厚生労働省に認可されています。 |
| 患者さま情報 | 74歳 男性 |
|---|---|
| 治療期間 | 2018年11月~441日間 |
| 治療費 | インプラント一本 15,000円(税抜) |
| 治療詳細 | 10年前に他医院にてインプラント治療を完了。 当医院にて2018年11月9日にインプラント周囲炎の治療を行う。 ペリソルブとSRP、Er-Yagレーザー照射をフラップ形成下で行った。グラフトレス症例。 |
| 治療におけるリスク・副作用 | ・術後のプラークコントロールが不良の場合、術後感染を起こす可能性があります。 ・ペリソルブの生体に対する安全性は、厚生労働省に認可されています。 |

当院では、ご高齢やお体が不自由で通院が困難な方のために、ご自宅や施設などにお伺いして治療をご提供する訪問歯科診療を行なっています。 もちろん、インプラント治療を受けられた後のメンテナンスも可能ですし、他院でインプラント治療を受けられた方にも受診していただけます。 訪問歯科診療をご希望の方は、お気軽にお問い合わせください。
新しい機器をご用意しているため、歯科医院で受けるのと変わらない丁寧な治療を保険診療(健康保険適用)で受けていただけます。

ペリソルブ
スウェーデンで開発された歯周病治療薬です。従来器具で削り取っていた歯石を、薬剤を塗布して軟らかくしながら優しく取り除けます。

半導体レーザー
「ペリソルブ」を細胞の奥深くまで送り込み、真皮層に潜む歯周病菌まで殺菌できます。その効果をより高めることが可能です。
トレーニングを受けた歯科衛生士による、専門的な口腔ケアやリハビリを受けていただけるので、お口の健康の維持・向上が期待できます。
ご高齢の方に、この先もいきいきと過ごしていただくためのお口の健康情報を発信する、「口腔ケア教室」にご参加いただいています。